Главная | Регистрация | Вход Приветствую Вас Гость | RSS


Наш опрос
В какое время суток вы наиболее работоспособны?
Всего ответов: 145

 
Онлайн всего:
Гостей:
Пользователей:
Качают: файлов
Скорость: kb/s
 





Главная » Файлы » Генетика С/Д Практика

Практические занятия № 7 Цитогенетический метод. Кариотипирование.
[ (125.0 Kb) ] 07.10.2025, 10:44

Практические занятия № 7

 Тема: Цитогенетический метод. Кариотипирование.


 

Цели занятия:

1. Раскладка и изучение аномальных кариотипов по фотографиям метафазной пластинки.

2. Изучение кариотипов и фотографий больных с синдромом Дауна, синдромом Эдвардса, синдромом Патау.

3. Изучение аномальных фенотипов и клинических проявлений генных заболеваний по фотографиям больных.

Задача: - определять наследственные патологии по кариотипу и делать прогноз наследственных патологий.

Перечень формируемых компетенций:

ОК 1. ОК 2. ОК З. ОК 4 ОК 5. ОК 8. ОК 11. ПК 1.1. ПК 2.1. ПК 2.2. ПК 2.3. 

Методическое оснащение занятия:

  1. Таблицы, алгоритмы составления и анализа кариограммы человека, наборы фотографий метафазных пластинок с аномальными кариотипами, фотографии больных с наследственными заболеваниями.
  2. ТСО: ноутбук для демонстрации слайдов
  3. Раздаточный материал:

Методическая разработка практического занятия, фотографии метафазных пластинок, приложения, задания для самостоятельной работы.

Литература для подготовки:

Основные источники:

  1. Е.К. Хандогина, И.Д.Терехова Генетика человека с основами медицинской генетики – М.: ГЭОТАР – Медиа, 2023

Дополнительные источники:

  1. Бочков Н.П. Клиническая генетика – М.: ГЭОТАР – Медиа, 2023

Интернет-источники:

  1. Консультант студента – электронная библиотека медицинского колледжа www/medkollegelib.ru
 

 

ТЕОРЕТИЧЕСКАЯ ЧАСТЬ

 

Диагностика хромосомных наследственных болезней

Для подтверждения (или установления) диагноза хромосомной болезни используют цитогенетические методы. Наибольшее значение имеют:

Беременным женщинам, у которых уровень АФП ниже нормы и для которых, следовательно, повышен риск иметь ребенка с синдромом Дауна, рекомендуется амниоцентез.

1. Метод кариотипирования.

2. Метод определения полового хроматина.

Метод кариотипирования

Кариотип изучают в делящихся клетках на стадии метафазы митоза, т.к. в этой стадии хромосомы максимально спирализованы и хорошо видны в световой микроскоп. Препарат метафазных хромосом называется метафазной пластинкой. Для диагностики боль­шинства хромосомных болезней метафазные пластинки изготавливают из лимфоцитов периферической крови. Пригодны также фибробласты кожи, клетки красного костного мозга.

Для пренатальной диагностики культивируют клетки амниотической жидкости, ворсин хориона, плаценты, эмбриональные ткани.

Рассмотрим получение метафазной пластинки из лимфоцитов пе­риферической крови. Для кариотипирования используют венозную кровь (I-2 мл) или из пальца. Кровь помещают в специаль­ную питательную среду (Среда 199 "Игла" и др.) с фитогемагглютинином /ФГА/. ФГА получают из бобовых растений, он вызывает иммунологическую трансформацию лейкоцитов иих деление. Культуру поме­щают в термостат на 48-72 часа.

За 2-3 часа до конца культивирования добавляют колхицин (или колцемид). Колхицин получают из растения безвременника весеннего. Он разрушает веретено деления и останавливает деление клетки на стадии метафазы. Следующий этап изготовления препарата—обработка клеток гипотоническим раствором хлорида калияили нитрата натрия. В гипотоническом растворе клетки набухают, межхромосомные связи рвутся и хромосомы свободно плавают в цитоплазме. Клеточную суспензию фиксируют и наносят на предметное стекло. Привысыхании фик­сатора клетки и хромосомы прочно прикрепляются к стеклу. Препарат окрашивают чаще всего по Романовскому-Гимзе. Такая окраска называ­ется простой или рутинной. Все хромосомы окрашиваются равномерно по всей длине. Рутинная окраска позволяет подсчитать число хромо­сом, распределить их по группам и обнаружить грубые хромосомные аберрации.

Для тонкой диагностики хромосомных аберраций с середины 70-х годов используют метод «дифференциальной окраски хромосом». Наиболее широко используют G-окраску. Хромосомы перед окрас­кой по Романовскому-Гимзе предварительно обрабатывают протеазами (трипсином). Хромосомы после окраски становятся полосатыми. Чере­дованиетемных и светлых полос индивидуально в каждой паре хромо­сом. Предполагают,что темные полосы - гетерохроматиновыеучастки,а светлые - эухроматиновые.

Определение полового хроматина. 

Половой хроматин - это спирализованная Х-хромосома. Одна из Х-хромосом у женщин инактивируется на 16-19 сутки эмбрионального развития, а вторая остаетсяактивной. Спирализованная Х-хромосома обнаруживается в ядрахсоматическихклеток в виде темной, хорошо окрашивающейся глыбки.

Методика определения полового хроматина в буккальном соскобе следующая. После предварительного полоскания ротовой полости сто­матологическим шпателем берут соскоб эпителия внутренней поверхно­сти щеки у коренных зубов. Соскоб наносится равномерным слоем на предметное стекло, окрашивается в течение 2 минут ацетоарсеином, за­тем покрывается покровным стеклом. Излишки краски удаляют с помо­щью фильтровальной бумаги. Подсчет телец полового хроматина прово­дят под иммерсией в круглых или овальных ядрах с ненарушенной ядер­ной мембраной. В норме у женщин обнаруживают половой хроматин в более 20% клеток, а у мужчин он в норме отсутствует.

Метод используют для диагностики хромосомных болезней, свя­занных с изменением числа половых хромосом.

 

 

ХОД РАБОТЫ

Методика анализа кариограммы  и описание кариотипа человека

  Пример решения задачи.

Описать кариотип:
1) общее число хромосом,

2) число аутосом,

3) число половых хромосом,

4) пол (мужской или женский),

5) число глыбок Х-хроматина,

6) норма или патология (какое заболевание) (рис.).

 

синдром варкани

Рис.  Кариограмма человека.

Решение:
Описание кариотипа:

1) общее число хромосом – 47 хромосом.

2) число аутосом – 45 аутосомы.

3) число половых хромосом – 2 (1 Х- хромосома и 1 Y-хромосома).

4) пол мужской – кариограмма принадлежит представителю мужского пола (ХY-хромосомы).

5) число глыбок Х-хроматина – 0 (наличие одной Х-хромосомы).

6) норма или патология (какое заболевание) – кариограмма содержит аномалию - трисомию по 8-й паре хромосом. Такая кариограмма характерна для особей, страдающих синдромом Варкани, в кариотипе мужчины общее число хромосом 47. Из них 45 аутосом и 2 половые хромосомы – Х и Y.

Ответ:
Формула кариотипа человека - 47, ХY. Трисомия 8 - синдром Варкани.

 

ПРАКТИЧЕСКАЯ ЧАСТЬ

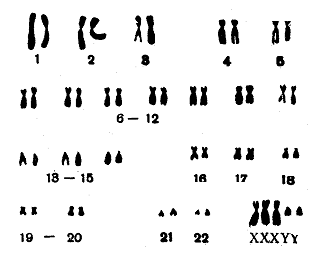
 Задание 1.
Сделайте анализ кариограммы человека (рис.1).

кариограмма человека

Рис. 1. Кариограмма человека.

  Задание 2.

Описать кариотип:

1) общее число хромосом,

2) число аутосом,

3) число половых хромосом,

4) пол (мужской или женский),

5) число глыбок Х-хроматина,

6) норма или патология (какое заболевание) (рис.2).

синдром клайнфельтера

Рис. 2. Кариограмма человека.

 Задание 3.

Описать кариотип:

1) общее число хромосом,

2) число аутосом,

3) число половых хромосом,

4) пол (мужской или женский),

5) число глыбок Х-хроматина,

6) норма или патология (какое заболевание) (рис.3).

синдром паттау

Рис. 3. Кариограмма человека.

 Задание 4.

Описать кариотип:

1) общее число хромосом,

2) число аутосом,

3) число половых хромосом,

4) пол (мужской или женский),

5) число глыбок Х-хроматина,

6) норма или патология (какое заболевание) (рис.4).

анализ кариограммы человека

Рис. 4. Кариограмма человека.

 Задание 5.

Описать кариотип:
1) общее число хромосом,

2) число аутосом,

3) число половых хромосом,

4) пол (мужской или женский),

5) число глыбок Х-хроматина,

6) норма или патология (какое заболевание) (рис.5).

синдром клайнфельтера

Рис. 5. Кариограмма человека.

 

 Задание 6.
Описать кариотип:

1) общее число хромосом,

2) число аутосом,

3) число половых хромосом,

4) пол (мужской или женский),

5) число глыбок Х-хроматина,

6) норма или патология (какое заболевание) (рис.6).

синдром дауна

Рис. 6. Кариограмма человека.

 Задание 7
Описать кариотип:

1) общее число хромосом,

2) число аутосом,

3) число половых хромосом,

4) пол (мужской или женский),

5) число глыбок Х-хроматина,

6) норма или патология (какое заболевание) (рис.7).

синдром Шерешевского - Тернера

Рис. 7. Кариограмма человека.


 

Дополнительные задания

 Задача 1. Беременная женщина, 43 лет, направлена на консультацию в 10-11 недель беременности для определения пренатальной тактики. По УЗИ на данном сроке толщина воротникового пространства - 1,7 мм. При проведении биопсии хориона выявлен кариотип: 46, ХУ/47, ХУ +21 (60%:40%). Здоровый ли родится ребенок? Ваши рекомендации?

 

 Задача 2.  В медико-генетической консультации на обследовании находится мальчик 15 лет, высокого роста, со склонностью к ожирению, гинекомастией. При проведении цитогенетического исследования во всех клетках обнаружено две Х хромосомы и одна У хромосома. Ваше заключение?


 Задача 3. Какое заболевание можно предполагать у девочки низкого роста с крыловидными складками на шее, широко расставленными сосками грудных желез, с нормальным интеллектом и нормальным строением наружных половых органов? Какое обследование необходимо назначить для подтверждения диагноза?

 

 Задача 4. В медико-генетическую консультацию обратилась семья в связи с рождением ребенка с множественными врожденными пороками развития. При проведении цитогенетического исследования ребенка - мальчика, 2-х лет, во всех клетках обнаружена лишняя 13 хромосома. Каково будет ваше заключение?

 

 Задача 5.  В медико-генетической консультации на обследовании находится девочка, 13 лет, маленького роста, с крыловидными складками на шее, отсутствием вторичных половых признаков. При проведении цитогенетического исследования в 60% клеток обнаружено отсутствие одной из Х хромосом. Ваше заключение?

 

  Задание 8. Сделать вывод по работе

 

Категория: Генетика С/Д Практика | Добавил: Админ
Просмотров: 96 | Загрузок: 12


 


Новости
[05.12.2012]
Опоздания и как с этим бороться (8)
[30.10.2016]
Онлайн-курс по веб-дизайну (0)
[29.09.2012]
Студенты РМК против курения! Акция: "Обменяй сигарету на конфету!" (0)
[26.11.2013]
К юбилею колледжа (0)
[29.09.2012]
Вручение оскаров (0)
[28.04.2016]
I краевая ярмарка методических идей «От замыслов – к воплощению» (0)
[29.09.2012]
Конкурс "Молодежь Алтая" (3)
[20.11.2012]
Еще одно вручение "Пальмовой ветви" (2)
[29.04.2016]
Научно-практическая конференция " Первые шаги в науку - 2016" (0)
[28.11.2014]
Краевая конференция преподавателей ГиСЭД учреждений СПО и НПО (0)





  Это интересно!









BIOKAN © 2026  Хостинг от uCoz