Практическое занятие №10
Составление и анализ кариограмм индивидуумов с различными хромосомными болезнями: трисомии и моносомии половых хромосом.
Аномальные фенотипы и клинические проявления хромосомных заболеваний по фотографиям больных.
Цели занятия:
1. Раскладка и изучение аномальных кариотипов по фотографиям метафазной пластинки.
2. Изучение кариотипов и фотографий больных с синдромом Дауна, синдромом Эдвардса, синдромом Патау.
3. Изучение аномальных фенотипов и клинических проявлений генных заболеваний по фотографиям больных.
Задача: Рассмотреть аномальные фенотипы и клинические проявления хромосомных заболеваний.
Перечень формируемых компетенций:
ОК 1. ОК 2. ОК З. ОК 4 ОК 5. ПК 1.1.
Методическое оснащение занятия:
Методическая разработка практического занятия, фотографии метафазных пластинок, приложения, задания для самостоятельной работы.
Основные источники:
- Е.К. Хандогина, И.Д.Терехова Генетика человека с основами медицинской генетики – М.:
ХОД РАБОТЫ
Методика анализа кариограммы и описание кариотипа человека
Пример решения задачи.
Описать кариотип:
1) общее число хромосом,
2) число аутосом,
3) число половых хромосом,
4) пол (мужской или женский),
5) число глыбок Х-хроматина,
6) норма или патология (какое заболевание) (рис.).

Рис. Кариограмма человека.
Решение:
Описание кариотипа:
1) общее число хромосом – 47 хромосом.
2) число аутосом – 45 аутосомы.
3) число половых хромосом – 2 (1 Х- хромосома и 1 Y-хромосома).
4) пол мужской – кариограмма принадлежит представителю мужского пола (ХY-хромосомы).
5) число глыбок Х-хроматина – 0 (наличие одной Х-хромосомы).
6) норма или патология (какое заболевание) – кариограмма содержит аномалию - трисомию по 8-й паре хромосом. Такая кариограмма характерна для особей, страдающих синдромом Варкани, в кариотипе мужчины общее число хромосом 47. Из них 45 аутосом и 2 половые хромосомы – Х и Y.
Ответ:
Формула кариотипа человека - 47, ХY. Трисомия 8 - синдром Варкани.
ПРАКТИЧЕСКАЯ ЧАСТЬ
Задание 1.
Сделайте анализ кариограммы человека (рис.1).

Рис. 1. Кариограмма человека.
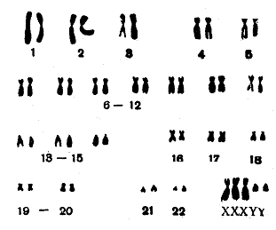
Задание 2.
Описать кариотип:
1) общее число хромосом,
2) число аутосом,
3) число половых хромосом,
4) пол (мужской или женский),
5) число глыбок Х-хроматина,
6) норма или патология (какое заболевание) (рис.2).

Рис. 2. Кариограмма человека.
Задание 3.
Описать кариотип:
1) общее число хромосом,
2) число аутосом,
3) число половых хромосом,
4) пол (мужской или женский),
5) число глыбок Х-хроматина,
6) норма или патология (какое заболевание) (рис.3).

Рис. 3. Кариограмма человека.
Задание 4.
Описать кариотип:
1) общее число хромосом,
2) число аутосом,
3) число половых хромосом,
4) пол (мужской или женский),
5) число глыбок Х-хроматина,
6) норма или патология (какое заболевание) (рис.4).

Рис. 4. Кариограмма человека.
Задание 5.
Описать кариотип:
1) общее число хромосом,
2) число аутосом,
3) число половых хромосом,
4) пол (мужской или женский),
5) число глыбок Х-хроматина,
6) норма или патология (какое заболевание) (рис.5).

Рис. 5. Кариограмма человека.
Задание 6.
Описать кариотип:
1) общее число хромосом,
2) число аутосом,
3) число половых хромосом,
4) пол (мужской или женский),
5) число глыбок Х-хроматина,
6) норма или патология (какое заболевание) (рис.6).

Рис. 6. Кариограмма человека.
Задание 7
Описать кариотип:
1) общее число хромосом,
2) число аутосом,
3) число половых хромосом,
4) пол (мужской или женский),
5) число глыбок Х-хроматина,
6) норма или патология (какое заболевание) (рис.7).

Рис. 7. Кариограмма человека.
Задание 8
Описать кариотип:
1) общее число хромосом,
2) число аутосом,
3) число половых хромосом,
4) пол (мужской или женский),
5) число глыбок Х-хроматина,
6) норма или патология (какое заболевание) (рис.8).

Рис. 8. Кариограмма человека.
Задание 9.
Описать кариотип:
1) общее число хромосом,
2) число аутосом,
3) число половых хромосом,
4) пол (мужской или женский),
5) число глыбок Х-хроматина,
6) норма или патология (какое заболевание) (рис.9).

Рис. 9. Кариограмма человека.
Задание 10. Сделать вывод по работе
|